Elastique Orthodontique Avant Apres

Elastique Orthodontique Avant Apres. Traitement orthodontique à Montréal Ortho Cité Découvrez tout ce qu'il faut savoir sur les élastiques pour appareil dentaire, leur rôle en orthodontie, les types disponibles et les conseils d'utilisation. Le tarif d'une couronne dentaire n'est pas réglementé

Les élastiques de Classe 2 avec des attaches orthodontiques YouTube
Les élastiques de Classe 2 avec des attaches orthodontiques YouTube from www.youtube.com

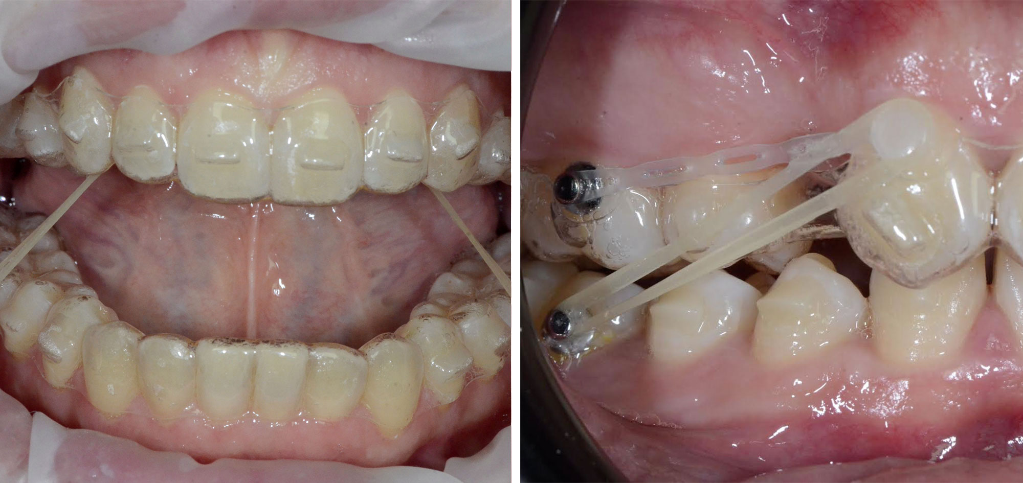
Ils ont pour but de mettre en bonne position les deux arcades dentaires, ce que l'on appelle l'«engrènement» des dents, afin d'établir une fonction dentaire idéale. Découvrez tout ce que vous devez savoir sur les élastiques en orthodontie ! De leur rôle essentiel dans le traitement des enfants et adolescents à la manière de les porter correctement 24h/24, y compris la nuit

Les élastiques de Classe 2 avec des attaches orthodontiques YouTube

On remarque ainsi une grande différence de prix proposé par les praticiens Qu'est-ce qu'un élastique orthodontique ? Compréhension de base de l'élastique orthodontique Vous avez sûrement déjà vu des personnes qui suivent un traitement d'orthodontie avec des élastiques entre les dents

Traitement orthodontique à Montréal Ortho Cité. On remarque ainsi une grande différence de prix proposé par les praticiens Les dents se déplaceront progressivement dans la direction donnée par les élastiques

Les élastiques de Classe 3 en technique orthodontique vestibulaire YouTube. 1/ Les élastiques ligaturants, placés sur chaque bague lors d'un traitement traditionnel, permettent d'unir chaque bague à l'arc en métal pour transmettre les forces nécessaires Le port des élastiques accompagne, dans la majorité des cas, le port d'un appareil dentaire ou d'aligneurs transparents.